1#
大 中
小 发表于 2017-11-15 08:10 显示全部帖子
达科为智能染色机在细胞学染色中的应用
一直以来,我们科细胞学涂片(妇科液基、胸水、腹水、心包积液、尿、纤支镜毛刷、痰、穿刺等)都是手工染色,近期进了一台达科为智能染色机,我们根据细胞学涂片染色的特点,在同一机器内设置了HE 染色和巴氏染色程序,根据不同的需求,选择HE 染色、妇科巴氏染色、非妇科巴氏染色,染色完成后拿出直接放到徕卡或樱花等自动封片机上封片(有与徕卡或樱花封片机通用的染色架),在同一台机器上同时进行三种不同的染色流程,染色速度快、颜色鲜艳、质量稳定。现将流程介绍如下(解决机器染色速度的关键是多设置苏木素染液的缸数,减少整个流程的等待时间:为了防止手工胸水细胞会脱落,导致其他涂片污染,我们单独给手工胸水细胞涂片设置了一缸苏木素):HE染色流程:
步骤
| 试剂名称
| 染色时间
| 沥液时间
| 是否精确
| 抖缸次数
| 1
| 苏木素
| 7’
| 6”
| 是
| 2
| 2
| 水洗
| 30”
| 6”
| 否
| 8
| 3
| 1%盐酸酒精
| 3”
| 2”
| 是
| 2
| 4
| 水洗
| 30”
| 4”
| 否
| 8
| 5
| 氨水
| 2”
| 1”
| 是
| 0
| 6
| 水洗
| 1’30”
| 4”
| 否
| 8
| 7
| 伊红
| 2”
| 2”
| 是
| 1
| 8
| 水洗
| 5”
| 4”
| 否
| 4
| 9
| 85%酒精
| 20”
| 2”
| 否
| 10
| 10
| 95%酒精
| 20”
| 2”
| 否
| 10
| 11
| 95%酒精
| 15”
| 2”
| 否
| 8
| 12
| 无水酒精
| 20”
| 2”
| 否
| 8
| 13
| 无水酒精
| 15”
| 3”
| 否
| 8
| 14
| 二甲苯
| 15”
| 2”
| 否
| 8
| 15
| 二甲苯
| 15”
| 3”
| 否
| 8
| 16
| 卸载涂片,拿到全自动染色机上封片
| 妇科巴氏染色流程:
步骤
| 试剂名称
| 染色时间
| 沥液时间
| 是否精确
| 抖缸次数
| 1
| 苏木素
| 7’
| 6”
| 是
| 2
| 2
| 水洗
| 30”
| 6”
| 否
| 8
| 3
| 1%盐酸酒精
| 3”
| 2”
| 是
| 0
| 4
| 水洗
| 30”
| 4”
| 否
| 8
| 5
| 氨水
| 2”
| 1”
| 是
| 0
| 6
| 水洗
| 1’30”
| 4”
| 否
| 8
| 7
| 95%酒精
| 10”
| 6”
| 否
| 8
| 8
| 橘黄
| 3”
| 1”
| 是
| 1
| 9
| 95%酒精
| 20”
| 2”
| 否
| 10
| 10
| 95%酒精
| 15”
| 4”
| 否
| 8
| 11
| EA50
| 2分’
| 6”
| 是
| 2
| 12
| 95%酒精
| 20”
| 2”
| 否
| 10
| 13
| 95%酒精
| 15”
| 2”
| 否
| 8
| 14
| 95%酒精
| 10”
| 2”
| 否
| 8
| 15
| 无水酒精
| 20”
| 2”
| 否
| 8
| 16
| 无水酒精
| 15”
| 4”
|
否
| 8
| 17
| 二甲苯
| 15”
| 2”
| 否
| 8
| 18
| 二甲苯
| 15”
| 4”
| 否
| 8
| 19
| 卸载涂片,拿到全自动染色机上封片
| 非妇科巴氏染色流程:
步骤
| 试剂名称
| 染色时间
| 沥液时间
| 是否精确
| 抖缸次数
| 1
| 苏木素
| 8’
| 6”
| 是
| 2
| 2
| 水洗
| 30”
| 6”
| 否
| 8
| 3
| 1%盐酸酒精
| 3”
| 2”
| 是
| 0
| 4
| 水洗
| 30”
| 4”
| 否
| 8
| 5
| 氨水
| 2”
| 1”
| 是
| 0
| 6
| 水洗
| 1’30”
| 6”
| 否
| 8
| 7
| 95%酒精
| 10”
| 6”
| 否
| 8
| 8
| EA/OG
| 1’
| 6”
| 是
| 2
| 9
| 95%酒精
| 20”
| 6”
| 否
| 10
| 10
| 95%酒精
| 15”
| 2”
| 否
| 10
| 11
| 95%酒精
| 15”
| 2”
| 否
| 10
| 12
| 无水酒精
| 20”
| 2”
| 否
| 8
| 13
| 无水酒精
| 15”
| 2”
|
否
| 8
| 14
| 二甲苯
| 15”
| 2”
| 否
| 8
| 15
| 二甲苯
| 15”
| 2”
| 否
| 8
| 16
| 卸载涂片,拿到全自动染色机上封片
| 经过二个多月的使用,发现该机器性能极佳:无故障、走缸迅速、平稳、无躁音;染色质量稳定,对比鲜明,并具有独特的质量控制系统,在试剂需要更换前对工作人员进行预警,协助科室把关试剂有效性真正实现规范化操作与可追溯性的统一,确保每批涂片的染色质量。达科为智能染色机不仅适用于组织切片染色,同时也适用于细胞涂片的染色,机器质量和性能不仅可以与进口染色机媲美,有的功能甚至超过了进口染色机。相信,国产染色机代替进口染色机已经指日可待。
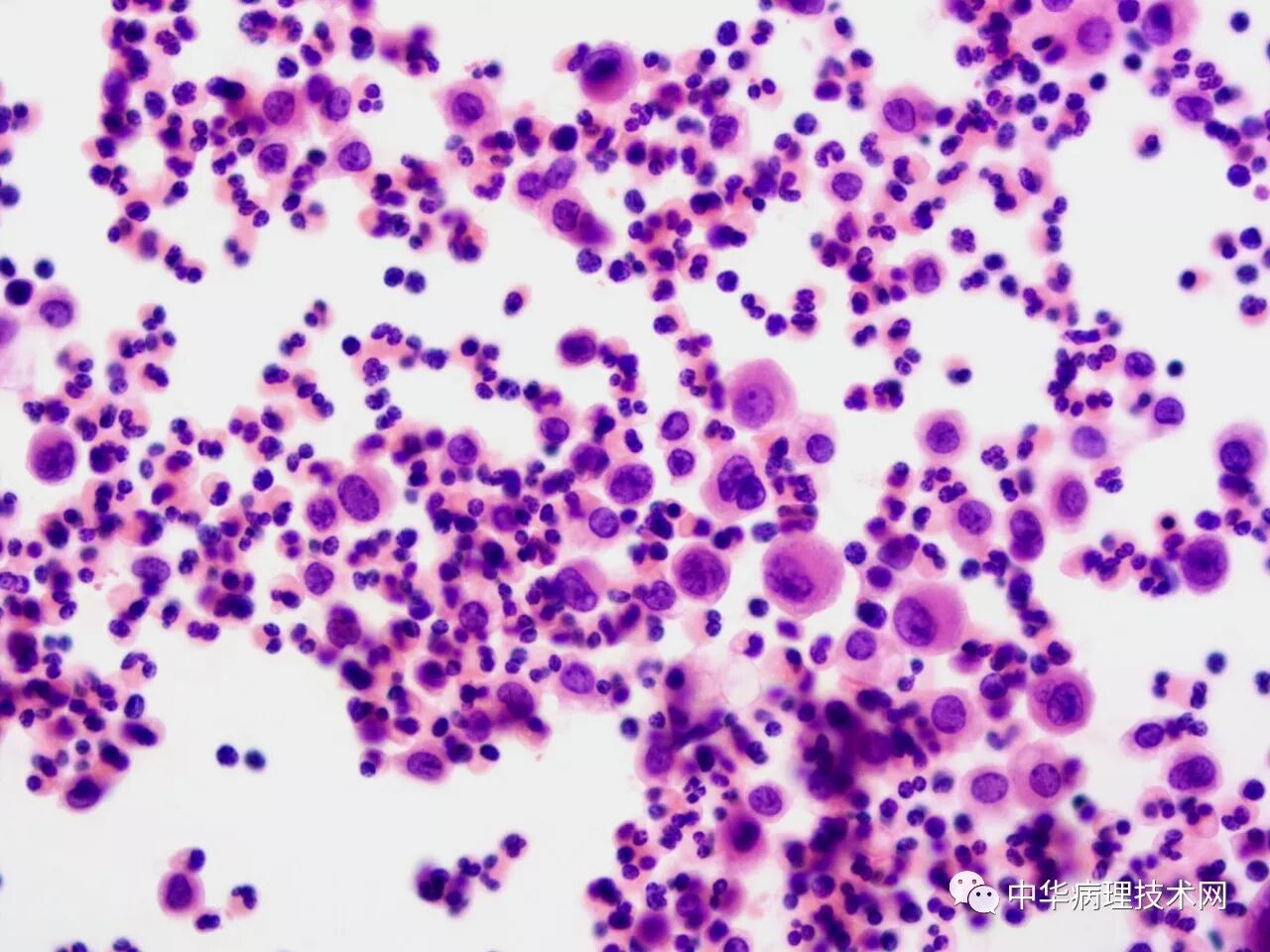
胸水 HE染色:
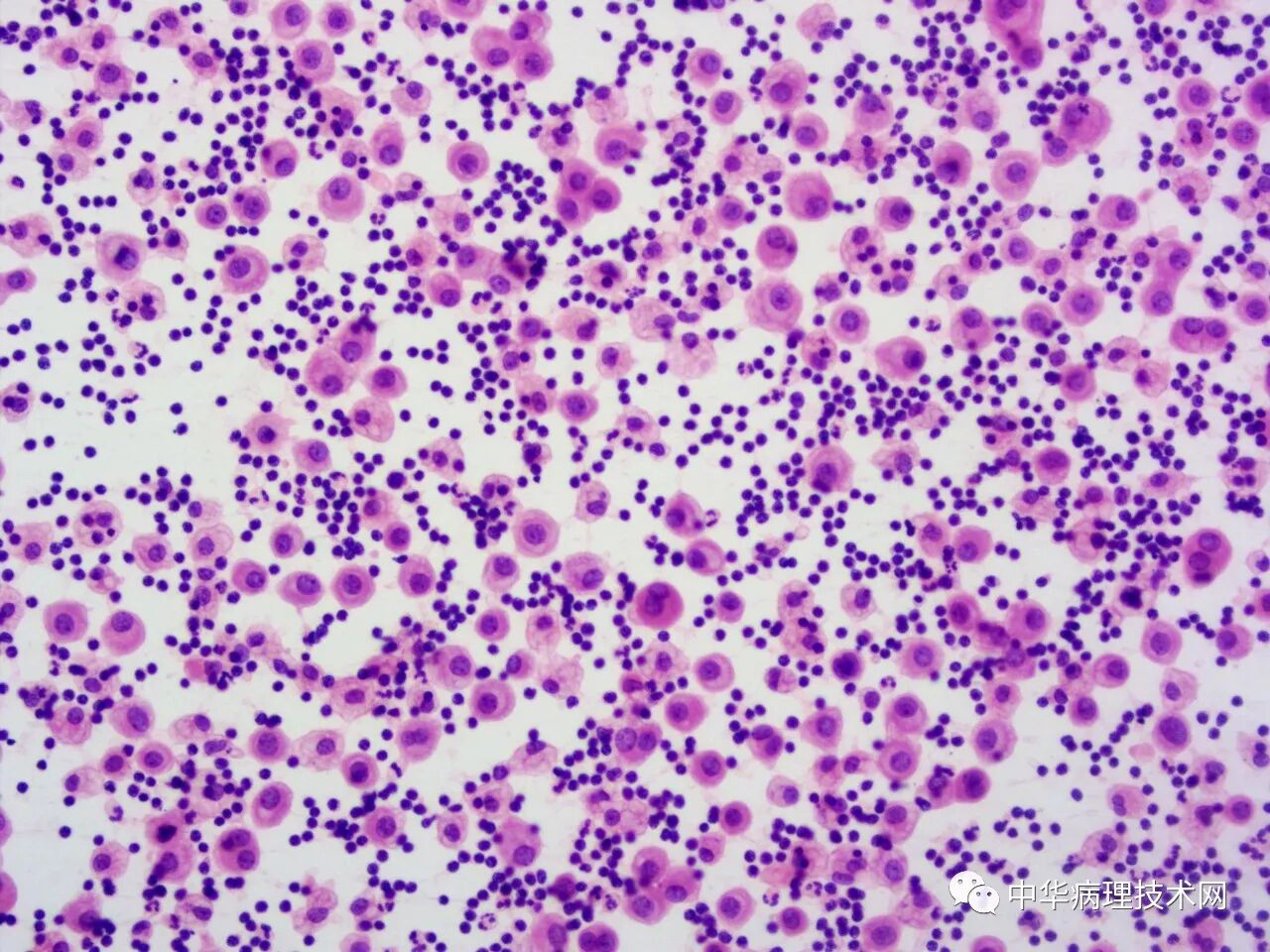
宫颈:巴氏染色:
详细内容请光临中华病理技术网:www.zhbljs.com
欢迎光临中华病理技术网 www.zhbljs.com ,我们将竭诚为广大病理工作者服务。

本人观点纯属个人偏见,希望大家独立判断,正确引用!
|